Dentale röntgen, een verbetering van de gebitsbehandeling.
Heel veel dieren krijgen vroeg of laat helaas last van hun gebit. Ze poetsen immers niet zelf hun tanden en als eigenaar kan het ook knap lastig zijn om je dier zover te krijgen dat ze dit netjes toelaten. Gelukkig is het mogelijk om bij onze dierenkliniek het gebit te laten controleren o.a. met behulp van de dentale röntgen, schoonmaken en, indien nodig, rotte tanden en kiezen te laten verwijderen. Bacteriën die zich ophopen onder tandsteen of onder ontstoken tandvlees kunnen zich vermeerderen en in de bloedbaan terecht komen. Vervolgens is er een risico dat de hartkleppen of de nieren aangetast worden door deze ziekteverwekkers, met alle gevolgen van dien. Een goed gebit is dus belangrijk voor een prettig en gezond leven. Daarnaast is het voor u als eigenaar een stuk prettiger als de mondgeur minder aanwezig is.
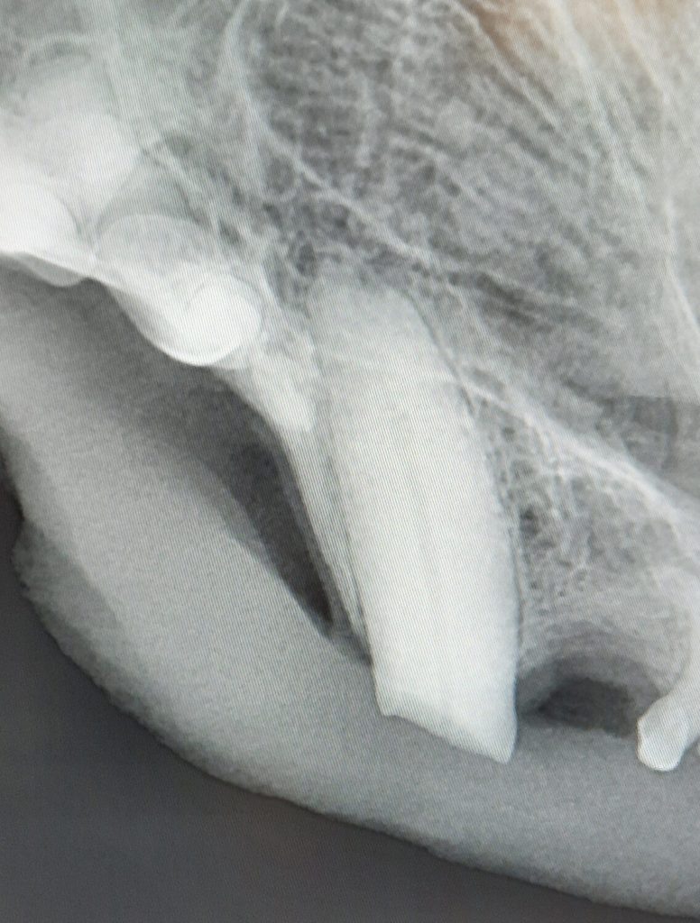
Een belangrijk hulpmiddel bij het goed schoonmaken en beoordelen van het gebit is de dentale röntgenbuis. Dit röntgenapparaat geeft een zeer gecentreerde stralingsbundel die gericht wordt op de wortels van de tanden en kiezen. Doordat de buis speciaal geschikt is voor kleine onderdelen, kunnen de wortels op een zo veilig mogelijke manier en met zo min mogelijk straling op de foto worden gezet.

Op de foto kan goed weergegeven worden of er aantasting is van het bot rondom een wortel of dat er terugtrekking van het bot rondom de tand of kies zichtbaar is. Als deze terugtrekking te ver is gevorderd, is het noodzakelijk de tand of kies te trekken, aangezien de ondersteuning van de tand te zwak wordt. Een ander voordeel van deze manier van röntgenfoto’s maken tijdens een gebitsbehandeling is dat er gecontroleerd kan worden of wortels van tanden en kiezen überhaupt nog aanwezig zijn. Dit voorkomt onnodig zoeken in een tandkas, als van tevoren al blijkt dat er niets meer aanwezig is.


Voornamelijk bij de kat bestaat de aandoening Feline Odontoclastic Resorptive Lesions, waarbij de tanden en kiezen net onder het tandvlees worden aangetast. Dit zorgt voor pijnlijkheid bij het kauwen en kan de volledige wortel oplossen. Op de dentale röntgenfoto kan deze aandoening zeer goed zichtbaar worden gemaakt, zodat het probleem op de juiste manier kan worden aangepakt.

We streven ernaar dentale röntgenfoto’s uit te laten maken van onze standaard gebitsbehandeling. Op deze manier kunnen problemen met het gebit al in een vroeg stadium gevonden en behandeld worden.