Brakende kat
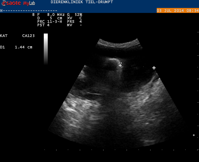
Rochard is een kat die in Frankrijk gevonden is en nu bij zijn baasjes in Zoelen woont. Het is een gezellige kat die wel altijd makkelijk gebraakt heeft. Sinds begin juni 2014 is het braken erger geworden en sinds juli 2014 houdt hij bijna niks meer binnen. Een continu brakende kat is niet gebruikelijk, dus moesten we verder gaan kijken. Omdat we niet zijn gehele voorgeschiedenis weten, zijn we na het klinische onderzoek begonnen met een uitgebreid bloedonderzoek. Hierin vonden we als enige afwijking een iets lager gehalte aan rode bloedcellen. Bij het klinische onderzoek werd door de dierenarts mogelijk een kleine verdikking in de buik gevoeld en we zijn verder gegaan met een echo van de buik. Hierbij vonden we een locale verdikking van de darmwand.

Door middel van het aanprikken van deze wand, hoopten we een diagnose te stellen. Helaas kregen we als uitslag reactief lymfeweefsel, wat voor ons een onverwachte uitslag was.
Op basis van deze uitslag zijn we gaan behandelen met medicijnen. De eerste week leek het goed te gaan. Echter na 2 weken ging het toch weer minder goed en met de echo bleek de structuur niet weg te zijn.
De baasjes waren enorm gemotiveerd en kozen voor operatie. Hierbij bleek Rochard van binnen erg geel te zijn, waarschijnlijk door leververvetting. Dit kan bij katten ontstaan die slecht eten. Daarnaast bleek de dunne darm over te gaan in een gezwel, om vervolgens weer over te gaan in dunne darm. Hierdoor werd het lumen van de darm daar een stuk kleiner waardoor de inhoud moeilijk kon passeren.
Het was zaak om nu zeker te weten wat het gezwel was en hopelijk leverden we daarmee ook nog een bijdrage aan de genezing. Om zeker te zijn van een goede diagnostiek werd het betreffende deel van de darm verwijderd.
Na onderzoek in het laboratorium bleek het een vorm van kanker te zijn, uitgaande van de witte bloedcellen. De tumor leek ook niet geheel verwijderd ondanks de ruime marges die bij de operatie waren genomen. Kortom de prognose was slecht. Meestal is de prognose bij dit type tumor dan maximaal 2 maanden.

Wat schetst echter onze verbazing, we zijn bijna 7 maanden verder en Rochard doet het nog steeds verbazingwekkend goed. Zo zie je maar weer, soms bereik je meer dan je denkt (of het blijft gewoon fijn dat katten meerdere levens hebben). We hopen dat Rochard er nog lang mag zijn.
