Bowie de brakende hond
Bowie, een Bull Terrier uit Tiel, kwam bij de dierenarts met de klacht: “braken sinds vannacht”. Sinds de middag had ze niet meer gebraakt. Wel was ze rustiger dan anders.
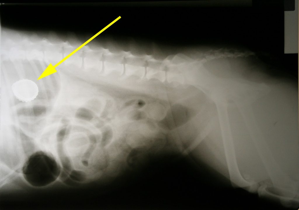
Bij het algemeen lichamelijk onderzoek viel met name op dat de temperatuur 40 graden was, de buik voorin een beetje gevoelig was en er iets bloed aan de thermometer zat. Het leek allemaal mee te vallen maar toch zat ze ons op de een of andere manier niet lekker. In overleg hebben we besloten een rontgenfoto te maken van de buik. Hierop zagen we al snel het probleem: in de maag zat een prachtig voorbeeld van een kroonkurk.

We besloten om dezelfde avond nog te gaan opereren (deze kroonkurk zat er waarschijnlijk al zeker een maand in, maar was blijkbaar pas sinds kort echt klachten gaan geven).
Bowie kreeg vast een aantal voorbereidende injecties (pijnstillers, antibiotica) en mocht in de hondenopname wachten tot ze aan de beurt was.

Toen we haar gingen voorbereiden zagen we nog bloed uit de anus lopen.

Nadat ze klaar lag en alle mogelijke bewakingsapparatuur was aangesloten,hebben we haar buik opengemaakt.

Eerst moesten we allerlei lastige verklevingen verwijderen. Deze waren het gevolg van de sterilisatie bij de vorige dierenarts (Noot: het is volledig normaal dat deze verklevingen optreden na een sterilisatie of welke operatie dan ook in de buik, dat is onmogelijk te voorkomen. Alleen nu belemmerden ze het zicht en moesten we ze weghalen). Uit de buik kwam een zeer penetrante lucht. Op zich toonde de darmen vrij normaal, maar ze lagen wel stil. We hebben de kroonkurk met de nodige moeite uit de maag verwijderd (veel maaginhoud en de kurk zakte steeds tussen de plooien in de diepte).

Na het sluiten van de maag en buik zijn we met medicijnen aan de gang gegaan om de darmen op gang te krijgen. Waarschijnlijk heeft de kroonkurk via beschadigingen in de maag gezorgd voor het bloedverlies en het stil gaan liggen van de darmen. Door het niet meer bewegen van het maagdarmkanaal is Bowie uiteindelijk ziek geworden.

Inmiddels is Bowie weer helemaal zichzelf.
Het bijpassende flesje is nooit gevonden…